LAO PHỔI DO NGUYÊN NHÂN GÌ? BIỂU HIỆN NHƯ THẾ NÀO?
Lao phổi là thể bệnh gặp nhiều nhất trong các thể bệnh lao, bao gồm cả lao nhạy cảm và lao kháng thuốc, chiếm khoảng 80% tổng số bệnh lao. Lao phổi là nguồn lây chính trong cộng đồng, đặc biệt là những trường hợp tìm thấy vi khuẩn trong đờm bằng phương pháp soi trực tiếp. Đây là nguồn lây chủ yếu làm cho bệnh lao tồn tại ở mọi quốc gia qua nhiều thế kỷ. Phát hiện sớm và điều trị triệt để cho những người bệnh này là biện pháp phòng bệnh hiệu quả nhất và là nhiệm vụ quan trọng của chương trình chống lao. Bệnh cảnh lâm sàng của lao phổi rất đa dạng và thường biểu hiện với các triệu chứng mạn tính. Nếu được phát hiện sớm thì lao phổi điều trị sẽ có kết quả tốt, phát hiện muộn có nhiều biến chứng và tăng nguy cơ xuất hiện những chủng vi khuẩn lao kháng thuốc.
Nguyên nhân và yếu tố nguy cơ
1. Vi khuẩn gây bệnh
- Nguyên nhân gây bệnh là do vi khuẩn lao. Chủ yếu là vi khuẩn lao người (M.tubeculosis hominis); có thể do vi khuẩn lao bò nhưng ít gặp. Nguồn gốc của vi khuẩn lao do tái nhiễm từ môi trường bên ngoài hoặc tái hoạt động từ tổn thương cũ.
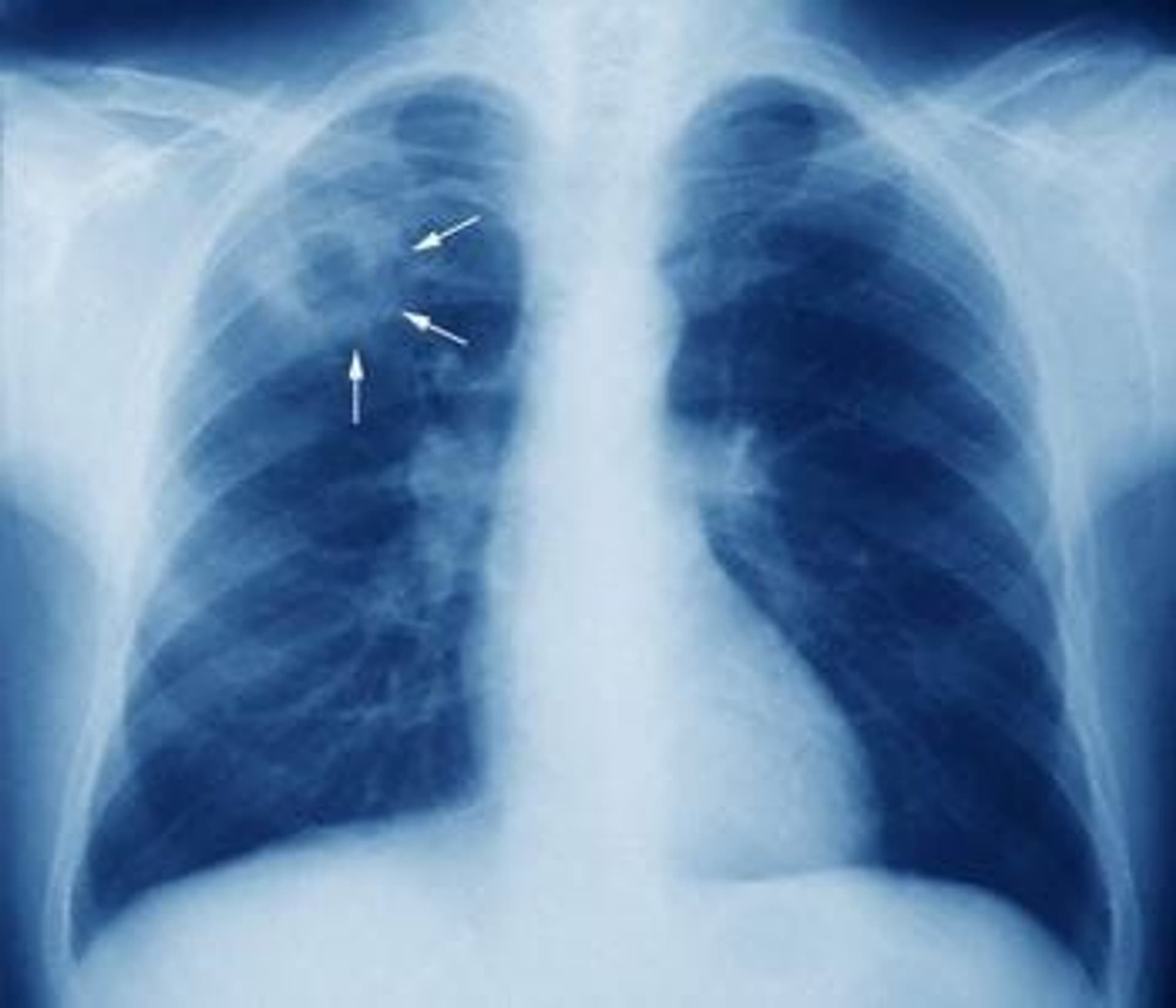
- Vị trí tổn thương: Lao phổi hay bắt đầu từ vùng đỉnh phổi và vùng dưới đòn (phân thùy đỉnh và phân thùy sau của thùy trên phổi). Cơ chế được giải thích là do vi khuẩn lao ái khí và cấu trúc về giải phẫu hệ mạch máu ở đây, làm cho dòng máu chảy chậm so với vùng khác, vì vậy vi khuẩn dễ dừng lại gây bệnh.
2. Tuổi và giới mắc bệnh
Lao phổi gặp ở người lớn, ngoài ra hay gặp ở hai cực tuổi là trẻ nhỏ (đặc biệt dưới 5 tuổi) và người già. Nam giới tỷ lệ mắc cao hơn nữ. Theo điều tra mắc lao toàn quốc lần II năm 2017, tỷ lệ nam/nữ mắc lao phổi ở Việt Nam là 4,2 và tỷ lệ mắc lao ở người trên 65 tuổi gấp gần 8 lần so với nhóm tuổi 15 – 25.
3. Yếu tố thuận lợi
- Người nhiễm HIV.
- Người tiếp xúc trực tiếp với nguồn lây ( tiếp xúc hộ gia đình), đặc biệt là trẻ em.
- Người mắc các bệnh mạn tính: đái tháo đường, suy thận mạn.
- Người nghiện ma túy, rượu, thuốc lá, thuốc lào.
- Người sử dụng các thuốc ức chế miễn dịch kéo dài như corticoid, hóa chất điều trị ung thư, các thuốc độc tế bào, các thuốc sinh học.
Biểu hiện lâm sàng
1. Khởi bệnh cấp tính: số ít các trường hợp biểu hiện với các triệu chứng như: sốt cao, ho, đau ngực nhiều, kèm theo khó thở.
2. Đa số trường hợp bệnh bắt đầu một cách từ từ với các dấu hiệu
2.1. Triệu chứng toàn thân
Người bệnh mệt mỏi, ăn kém, gầy sút cân không rõ nguyên nhân, sốt nhẹ về chiều tối (37,50C đến 380C) kèm theo ra mồ hôi về ban đêm.
2.2. Triệu chứng cơ năng
- Triệu chứng hay gặp nhất là ho khạc đờm:
+ Đờm trắng trong, nhầy, có thể màu vàng nhạt, màu xanh hoặc mủ đặc.
+ Tất cả những người bệnh có dấu hiệu ho khạc đờm từ trên 2 tuần cần được khám phát hiện hoặc loại trừ lao.
- Ho ra máu: đa số các trường hợp thường ho ra máu số lượng ít, tuy nhiên ho máu rất khó tiên lượng, luôn nên được coi là một cấp cứu, cần được xử trí và chẩn đoán.
- Đau mỏi vùng liên bả cột sống, hoặc đau ngực: đây là triệu chứng không gặp thường xuyên, thường đau âm ỉ, khó mô tả, khu trú ở một vị trí cố định.
- Khó thở: chỉ gặp khi tổn thương rộng ở phổi, hoặc do có các biến chứng của lao phổi.
2.3. Triệu chứng thực thể
- Các triệu chứng nghèo nàn, một số trường hợp có thể nghe thấy rì rào phế nang giảm ở vùng đỉnh phổi hoặc vùng liên bả cột sống.
- Các triệu chứng thực thể tai phổi nếu có thường liên quan tới bệnh phổi khác hoặc các biến chứng của bệnh lao phổi.


